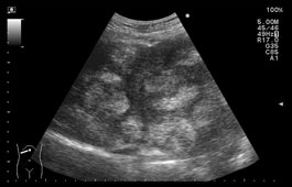
肝臓エコー所見:
・肝細胞癌:モザイクパターン
・肝細胞癌の結節型腫瘍:バスケットパターン

肝細胞癌などの多血性肝腫瘍で特徴的に認められる血流パターンの一つ。超音波のカラードプラ検査で、腫瘍の辺縁部から内部に向かって拍動性の血流信号が網目状に見えるもので、このパターンは腫瘍周囲の線維性被膜に存在する血管(動脈や門脈)が腫瘍を包み込むように走行しているために出現します。進行肝細胞癌の膨張性発育で周囲肝組織が圧迫され、線維化と血管増生が進行した状態を反映したものです
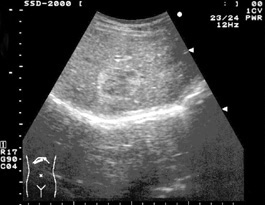
・転移性肝腫瘍:クラスターサイン

「クラスターサイン」は、転移性肝腫瘍に特徴的な所見です。これは多数の腫瘍が増大し、ぶどうの房のように融合して一塊となり描出される状態を指します。このサインは、多発性の腫瘍が集簇していることを示し、しばしば転移性肝腫瘍の診断に有用とされます。
・肝血管腫:マージナルストロングエコー

肝血管腫で辺縁にほぼ全周性に縁取られるように見られる高エコー(高輝度)所見のことを指します。
限局性結節性過形成:スポークウイールパターン

限局性結節性過形成(FNH: focal nodular hyperplasia)でよく見られる特徴的な血管パターン。造影超音波検査で血管相が早期に濃染される際に認められ肝腫瘍の中心から放射状に血管が伸びる様子を示し、「車輻様構造」とも表現されます。
コメント